Câu hỏi “buồng trứng đa nang có chữa được không” luôn là nỗi trăn trở của nhiều phụ nữ đang trong hành trình tìm lại cân bằng sức khỏe. Trong bài viết này, Lương Y Nguyễn Thị Thái sẽ cùng bạn tìm hiểu nguyên nhân, cơ chế và những phương pháp điều trị giúp cải thiện buồng trứng đa nang an toàn, tự nhiên mà vẫn mang lại hiệu quả rõ rệt.
Buồng Trứng Đa Nang Có Chữa Được Không?
Câu hỏi “buồng trứng đa nang có chữa được không” luôn là mối quan tâm hàng đầu của phụ nữ mắc hội chứng này. Theo quan điểm y học hiện đại, hội chứng buồng trứng đa nang là một bệnh lý mãn tính không thể chữa dứt điểm hoàn toàn, tuy nhiên có thể kiểm soát và quản lý hiệu quả các triệu chứng.
Điều quan trọng là phân biệt rõ ràng giữa “chữa khỏi” và “quản lý triệu chứng”. Trong khi không thể loại bỏ hoàn toàn căn nguyên gây bệnh, việc áp dụng phương pháp điều trị phù hợp có thể giúp phụ nữ sống bình thường, có thai và duy trì chất lượng cuộc sống tốt.

Lương Y Nguyễn Thị Thái, với hơn 20 năm kinh nghiệm điều trị các bệnh phụ khoa bằng phương pháp gia truyền, chia sẻ rằng việc kết hợp y học cổ truyền với điều trị tây y mang lại hiệu quả vượt trội trong việc cải thiện triệu chứng buồng trứng đa nang.
Hội chứng buồng trứng đa nang cần được quản lý suốt đời do bản chất rối loạn nội tiết phức tạp. Tuy nhiên, với sự hiểu biết đúng đắn và phương pháp điều trị khoa học, phụ nữ hoàn toàn có thể kiểm soát tình trạng này một cách hiệu quả.
Hiểu Đúng Về Hội Chứng Buồng Trứng Đa Nang
Hội chứng buồng trứng đa nang là một rối loạn nội tiết phức tạp ảnh hưởng đến 5-10% phụ nữ trong độ tuổi sinh sản. Cơ chế bệnh sinh chủ yếu liên quan đến sự mất cân bằng hormone, đặc biệt là tăng androgen và kháng insulin.
7 triệu chứng điển hình giúp nhận biết sớm buồng trứng đa nang bao gồm:
- Rối loạn kinh nguyệt hoặc vô kinh
- Tăng cân khó kiểm soát
- Lông mọc nhiều ở vùng nam tính
- Mụn trứng cá dai dẳng
- Rụng tóc kiểu nam
- Vô sinh hoặc khó có thai
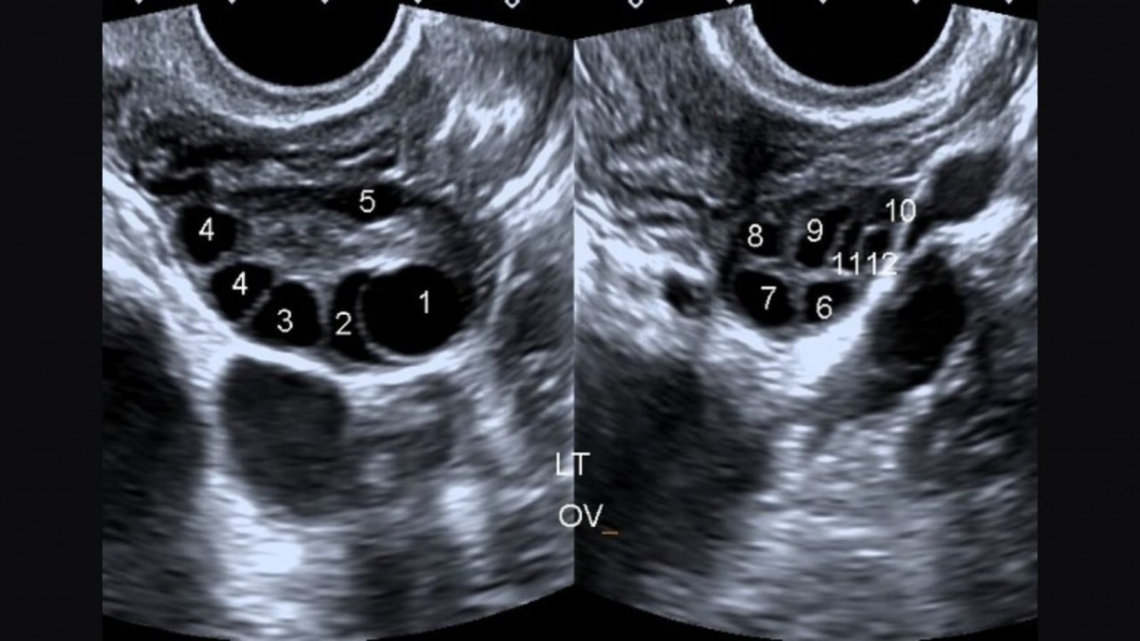
- Các nang nhỏ trên buồng trứng qua siêu âm
Tiêu Chí Chẩn Đoán Buồng Trứng Đa Nang Theo Chuẩn Quốc Tế
Tiêu chuẩn Rotterdam được áp dụng rộng rãi để chẩn đoán hội chứng buồng trứng đa nang. Bệnh nhân cần có ít nhất 2 trong 3 tiêu chí sau:
- Rối loạn phóng noãn hoặc vô phóng noãn
- Tăng androgen lâm sàng hoặc sinh hóa
- Hình ảnh siêu âm cho thấy buồng trứng đa nang

Các xét nghiệm cần thiết để chẩn đoán chính xác bao gồm đo nồng độ hormone testosterone, LH, FSH, AMH, glucose và insulin lúc đói. Siêu âm buồng trứng qua âm đạo cũng là phương pháp quan trọng để đánh giá cấu trúc buồng trứng.
Xem thêm: 8 Dấu Hiệu Đa Nang Buồng Trứng Chị Em Cần Biết Ngay
Yếu Tố Nguy Cơ Và Nguyên Nhân
Yếu tố di truyền đóng vai trò quan trọng trong phát triển hội chứng buồng trứng đa nang, với tỷ lệ mắc bệnh cao hơn ở những người có mẹ hoặc chị em gái bị mắc. Môi trường sống, chế độ ăn uống và lối sống cũng ảnh hưởng đáng kể đến quá trình phát triển bệnh.
Mối liên hệ giữa kháng insulin và hội chứng buồng trứng đa nang đặc biệt quan trọng. Khoảng 70-80% phụ nữ mắc hội chứng này có tình trạng kháng insulin, dẫn đến tăng sản xuất androgen và làm trầm trọng thêm các triệu chứng.
Phương Pháp Thay Đổi Lối Sống – Nền Tảng Điều Trị PCOS
Thay đổi lối sống được coi là phương pháp điều trị hàng đầu cho hội chứng buồng trứng đa nang. Nghiên cứu cho thấy việc giảm chỉ 5-10% cân nặng có thể cải thiện đến 50% triệu chứng của bệnh.
Chế độ ăn low-GI và kiểm soát insulin đóng vai trò then chốt trong việc quản lý hội chứng. Nguyên tắc ăn uống tập trung vào việc hạn chế carbohydrate đơn giản, tăng protein và chất xơ, giúp cải thiện kháng insulin và giảm testosterone tự nhiên.
Thực đơn mẫu một ngày cho người mắc buồng trứng đa nang:
- Bữa sáng: Yến mạch với quả mọng và hạt chia
- Bữa trưa: Salad quinoa với thịt nạc và rau củ
- Bữa tối: Cá hồi nướng với rau xanh và khoai lang
- Bữa phụ: Hạnh nhân hoặc sữa chua ít đường
Xem thêm: Đa Nang Buồng Trứng Nên Ăn Gì: Thực Đơn Cho Người Bị Đa Nang Buồng Trứng
Kế hoạch tập luyện phù hợp cần phối hợp giữa cardio và strength training để tối ưu hiệu quả. Lịch tập 4-5 ngày mỗi tuần với cường độ vừa phải giúp cải thiện đáng kể các triệu chứng của hội chứng buồng trứng đa nang.
Điều Trị Buồng Trứng Đa Nang Bằng Thuốc
Khi thay đổi lối sống không mang lại hiệu quả mong muốn, can thiệp bằng thuốc trở thành lựa chọn cần thiết. Các loại thuốc được phân loại theo mục đích điều trị: điều hòa kinh nguyệt, giảm androgen, và hỗ trợ sinh sản.
Thuốc Tránh Thai Kết Hợp Và Metformin
Thuốc tránh thai kết hợp hoạt động bằng cách ức chế sản xuất androgen và điều hòa chu kỳ kinh nguyệt. Đây là lựa chọn hàng đầu cho phụ nữ chưa có nhu cầu sinh con, giúp cải thiện mụn trứng cá, giảm lông mọc nhiều và điều hòa kinh nguyệt.
Metformin, ban đầu được sử dụng để điều trị tiểu đường, đã chứng minh hiệu quả đáng kể trong việc cải thiện kháng insulin và giảm testosterone tự nhiên. Thuốc này đặc biệt hữu ích cho phụ nữ thừa cân và có kháng insulin.
Thuốc Kích Thích Rụng Trứng
Đối với phụ nữ có nhu cầu sinh con, Clomiphene và Letrozole là hai lựa chọn hàng đầu để kích thích phóng noãn. Clomiphene có tỷ lệ thành công khoảng 60-70% trong việc kích thích rụng trứng, trong khi Letrozole cho thấy hiệu quả cao hơn với ít tác dụng phụ.

Quy trình theo dõi siêu âm định kỳ trong quá trình điều trị rất quan trọng để đánh giá phản ứng của buồng trứng và điều chỉnh liều thuốc phù hợp.
Can Thiệp Y Khoa Và Hỗ Trợ Sinh Sản
Phẫu thuật nội soi khoan buồng trứng là một can thiệp nhỏ được chỉ định cho những trường hợp không đáp ứng với điều trị thuốc. Phương pháp này có tỷ lệ thành công 50-70% trong việc phục hồi phóng noãn tự nhiên.
Kỹ Thuật Hỗ Trợ Sinh Sản IUI Và IVF
Khi các phương pháp điều trị cơ bản không mang lại kết quả, kỹ thuật hỗ trợ sinh sản trở thành lựa chọn cuối cùng. IUI có chi phí thấp hơn nhưng tỷ lệ thành công khoảng 10-15% mỗi chu kỳ, trong khi IVF có tỷ lệ thành công cao hơn, từ 40-50% mỗi chu kỳ.
Đặc điểm IVF cho phụ nữ mắc hội chứng buồng trứng đa nang cần lưu ý nguy cơ hội chứng quá kích buồng trứng. Do đó, phác đồ kích thích nhẹ thường được ưu tiên để đảm bảo an toàn.
Tỷ Lệ Mang Thai Thành Công
Thống kê cho thấy tỷ lệ thành công theo từng phương pháp điều trị khác nhau đáng kể. Với thay đổi lối sống kết hợp thuốc, khoảng 60-80% phụ nữ có thể phục hồi phóng noãn. Timeline thực tế cho thấy có thể mất 6-12 tháng hoặc lâu hơn để đạt được thai kỳ thành công.

Lộ Trình Điều Trị PCOS Theo Mục Tiêu Cá Nhân
Việc xây dựng lộ trình điều trị cần dựa trên mục tiêu cá nhân của từng bệnh nhân. Đối với phụ nữ có nhu cầu sinh sản, ưu tiên tập trung vào việc phục hồi phóng noãn và cải thiện khả năng thụ thai.
Với những phụ nữ chưa có nhu cầu sinh con, mục tiêu chính là kiểm soát các triệu chứng khó chịu như mụn trứng cá, lông mọc nhiều, và duy trì cân nặng ổn định.
Phối Hợp Các Phương Pháp Tối Ưu
Ví dụ phác đồ điều trị tổng hợp có thể bao gồm: thay đổi lối sống kết hợp Metformin và thuốc tránh thai. Việc điều chỉnh linh hoạt theo phản ứng của từng người là yếu tố then chốt để đạt được hiệu quả tối ưu.
Lương Y Nguyễn Thị Thái thường kết hợp các bài thuốc gia truyền với phương pháp điều trị hiện đại, tập trung vào việc điều hòa khí huyết và cân bằng hormone tự nhiên.
Thời Gian Và Chi Phí Điều Trị PCOS Tại Việt Nam
Timeline để thấy hiệu quả từ các phương pháp điều trị khác nhau: thay đổi lối sống cần 3-6 tháng, điều trị bằng thuốc mất 3-6 tháng, và phẫu thuật cần 3-6 tháng sau mổ để đánh giá kết quả.
Ước tính chi phí điều trị tại Việt Nam theo từng phương pháp:
- Thuốc điều trị: 300.000 – 2.000.000 đồng/tháng
- Phẫu thuật nội soi khoan buồng trứng: 15-30 triệu đồng
- IVF: 80-150 triệu đồng/chu kỳ
Theo Dõi Dài Hạn Và Phòng Ngừa Biến Chứng
Lịch tái khám định kỳ 3-6 tháng một lần cùng với xét nghiệm glucose, lipid máu và siêu âm buồng trứng là điều cần thiết để theo dõi tiến triển bệnh và điều chỉnh phương pháp điều trị.
5 biến chứng nguy hiểm cần phòng ngừa bao gồm
- Vô sinh
- Tiểu đường type 2
- Bệnh tim mạch
- Ung thư nội mạc tử cung
- Trầm cảm
Việc nhận biết sớm và can thiệp kịp thời có thể ngăn ngừa hoặc giảm thiểu nguy cơ này.
Dấu Hiệu Cảnh Báo Và Tự Theo Dõi
Các dấu hiệu cảnh báo cần gặp bác sĩ ngay lập tức: vô kinh trên 3 tháng, chảy máu bất thường, đau bụng dữ dội, hoặc tăng cân nhanh chóng. Việc ghi nhật ký kinh nguyệt, cân nặng và các triệu chứng giúp bác sĩ đánh giá chính xác tình trạng bệnh.
Câu Hỏi Thường Gặp Về PCOS
Buồng trứng đa nang có tự khỏi sau sinh không?
Hội chứng buồng trứng đa nang không tự khỏi hoàn toàn sau sinh, tuy nhiên có thể cải thiện tạm thời do sự thay đổi hormone trong thai kỳ và sau sinh.
Uống thuốc tránh thai lâu dài có hại không?
Thuốc tránh thai an toàn khi sử dụng đúng chỉ định và dưới giám sát y tế. Tuy nhiên, cần theo dõi định kỳ để đánh giá tác dụng phụ và điều chỉnh nếu cần.
Kết Luận
Câu hỏi “buồng trứng đa nang có chữa được không” có câu trả lời rõ ràng: mặc dù không thể chữa khỏi hoàn toàn, hội chứng này hoàn toàn có thể kiểm soát và quản lý hiệu quả. Thành công trong điều trị phụ thuộc vào việc hiểu biết đúng đắn về bệnh, áp dụng phương pháp điều trị phù hợp và kiên trì thực hiện lâu dài.
Lương Y Nguyễn Thị Thái nhấn mạnh rằng việc kết hợp giữa y học cổ truyền và hiện đại, cùng với sự thay đổi tích cực trong lối sống, có thể mang lại hiệu quả điều trị vượt trội. Quan trọng nhất là không bỏ cuộc và tìm kiếm sự hỗ trợ từ các chuyên gia có kinh nghiệm.
Nếu bạn đang tìm kiếm giải pháp điều trị buồng trứng đa nang hiệu quả, hãy liên hệ với nhà thuốc nam gia truyền Lương Y Nguyễn Thị Thái để được tư vấn chuyên sâu và lập kế hoạch điều trị phù hợp với tình trạng cụ thể của bạn.

